Serebral Palsi ve El Problemleri

Serebral Palsi ve El Problemleri

Beyin felci (serebral palsi) vucutta uzuvların hareket ve postür bozukluğuna sebep olan bir hastalıktır. Hastalığın sebebi anne karnında, doğum esnasında ya da doğum sonrası bebeklik döneminde be...
Çekiç Parmak Deformitesi ( Mallet Finger)

Çekiç Parmak Deformitesi ( Mallet Finger)

Çekiç parmak deformitesi nedir ?Baş parmak dışındaki parmaklarının sert bir yüzeye çarpma sonrası en uç boğumunun aşağı doğru kıvrık kalması durumu çekiç parmak olarak adlandırılırÇekiç par...
EL BİLEK ARTROSKOPİSİ

EL BİLEK ARTROSKOPİSİ

GENEL BAKIŞEl bilek artroskopisi, el bileği eklemindeki sorunları teşhis etmek ve tedavi etmek için artroskop olarak bilinen küçük bir kamera kullanan bir prosedürdür. El bileği, sekiz küçük kemi...
Dupuytren kontraktürü

Dupuytren kontraktürü

Genel Bakış:Dupuytren'in kontraktürü, genellikle yıllar içinde gelişen bir el deformitesidir. Durum, avucunuzun derisinin altında astar görevini gören bir doku katmanını etkiler. Derinin alt...
Sık Karşılaşılan El Problemleri

Sık Karşılaşılan El Problemleri

Yaşınız ve işiniz ne olursa olsun elleriniz sürekli olarak çalışmaktadır.Elleriniz çok önemli olduğu için herhangi bir sorunla karşılaşıdığında ortopedik cerrahınıza başvururak konu ile ilgili bilgi ...
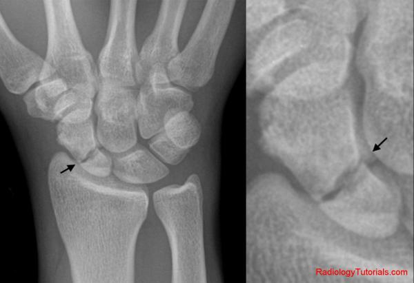
skafoid kırığı

skafoid kırığı

Günlük hayatımızda ya da spor aktiviteleri sırasında düşme, sert top gelmesi gibi durumlar el bileğinde ağrı, şişlik ve hareket kısıtlılığı oluşturabilir. İlk bakışta hasta tarafından önemsenmeye...
kienböck hastalığı

kienböck hastalığı

~~KİENBÖCK HASTALIĞILunat kemiği el bilek hareketlerini sağlayan ilk sıra kemiklerinin arasında bulunur ve deyim yerindeyse el bileğinin dengesini sağlar. Kienböck hastalığı yarım ay şeklinden dol...